raygenic

Reduce reporting time. Restore your department's capacity.

Raygenic streamlines radiology reporting and speeds up clinical decision-making. Less manual work, fewer delays, and a calmer team with full visibility and control over the reporting workflow

The Challenge

In high-volume radiology departments, delays rarely start at the scanner. The bottleneck usually appears between the scan and the final clinical decision. Backlogs grow, radiologists work under constant pressure, and urgent cases compete with routine studies in the same queue

PROBLEM

All exams in one queue, limited prioritisation

Manual measurements and reporting slow down throughput

Radiologists switch between multiple systems during reporting

Limited visibility of workload, case status, and reporting progress

Delays increase stress and add risk in time-sensitive cases

SOLUTION

Urgent cases can be prioritised immediately

Measurements and reporting steps are supported with automation and AI insights

Exams, annotations, and reports are handled in one workspace

Clear visibility of case status and team workflow

More predictable reporting process with fewer delays

Who is it for?

Raygenic works best in:

Hospitals with high imaging volumes

MRI and CT departments

Diagnostic imaging centres

Facilities struggling with reporting backlogs

Radiology teams needing faster clinical decision-making and better workflow control

Hospitals with high imaging volumes

MRI and CT departments

Diagnostic imaging centres

Facilities struggling with reporting backlogs

Radiology teams needing faster clinical decision-making and better workflow control

Hospitals with high imaging volumes

MRI and CT departments

Diagnostic imaging centres

Facilities struggling with reporting backlogs

Radiology teams needing faster clinical decision-making and better workflow control

Hospitals with high imaging volumes

MRI and CT departments

Diagnostic imaging centres

Facilities struggling with reporting backlogs

Radiology teams needing faster clinical decision-making and better workflow control

Clinically validated. Certified. Built for real hospital conditions

Raygenic is a CE-certified medical device developed with clinicians and tested in university hospital environments

CE-certified medical device (MDR, class IIa)
Raygenic is CE-certified under the Medical Device Regulation (MDR) as a Class IIa medical device. Designed for clinical use with regulatory compliance in mind.
TÜV NORD certification (external audit)
Raygenic successfully passed an external TÜV NORD audit and completed the certification process. It confirms product maturity and compliance readiness for clinical use.
Tested in Polish university hospitals
Validated in real-world hospital environments, not just in labs. Built around the workflows of high-volume radiology teams.
1,500+ validated clinical cases in the EU
Trained and validated on over 1,500 real clinical cases across the EU. This provides a strong clinical foundation for reliable performance.
0 missed abnormalities in a clinical pilot
In a university hospital clinical pilot, no missed abnormalities were reported. Every case was manually validated by radiologists.

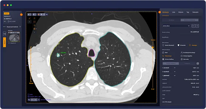
How Raygenic works

One integrated workspace for exam review and structured reporting

Image desc
Smart exam workflow and prioritisation
Cases are organised and prioritised so urgent studies reach radiologists first
Image desc
AI-assisted detection and review
AI analyses exams and highlights potential abnormalities to support faster clinical assessment.
Image desc
Structured reporting with templates
Reports are created using standardised templates supported by automated measurements and validated findings.
Image desc
Faster diagnosis and improved throughput
The workflow reduces reporting time (up to 70%) and helps teams handle more cases with less pressure.

Faster clinical decisions

Shorten the path from scan to clinical decision, especially in backlog-heavy departments.

Shorter reporting backlogs

Increase throughput by removing workflow bottlenecks in reporting.

Less manual work for radiologists

Reduce repetitive steps with automation and AI support.

Lower risk of oversight

AI insights and structured workflow help maintain quality under time pressure.

How collaboration works?

Clear steps that take you from initial discussion to a working solution

01

Conversation & demo

We show how Raygenic fits your radiology workflow and where reporting time is being lost.

02

Integration & configuration

Raygenic connects with your PACS, RIS and HIS. We configure workflows and access.

03

Go-live & support

Raygenic runs in the browser. After go-live, your team works in one environment, with ongoing support.

FAQ

Common questions, clearly answered

Yes. Raygenic is a CE-certified medical device (MDR, class IIa), tested in Polish university hospitals and built together with clinicians.

Raygenic improves workflow between scan and clinical decision through prioritisation, reduced manual steps, and full case visibility in one reporting environment.

Yes. OnTax keeps a full action log showing who uploaded, generated and submitted each file. It also stores confirmations and change history, so audit preparation does not depend on manual reconstruction.

Raygenic reduces system switching and manual work by bringing exams, AI insights, and reporting into one workspace.

Facilities typically reduce reporting backlogs and improve throughput. Many recover their investment within months through improved capacity utilisation.

Restore control over reporting and department capacity

Book an online demo and see how Raygenic reduces reporting delays and supports faster clinical decisions without exports, system switching, or workflow chaos.

Privacy Policy Cookies Policy
© Copyright 2026 by Onwelo